
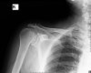
Bu çalışmada amaç;sıkışma sendromuna sebep olmuş Akromioklavikuler(AC) osteoartritli hastalarda,
klavikula distal uç rezeksiyonu uygulamalarımızın fonksiyonel sonuçlarının değerlendirilmesidir.
OMUZ AĞRISI Omuz hastalıkları neredeyse her yaş gurubunda görülen sıklı...
Open and arthroscopic excision of the distal clavicle for osteoarthritis of the...
Bilateral locked posterior shoulder dislocation overlookedfor 15 months treated...
Omuz Protezi Sonrasında Erken Dönemde 1.Ayda Hareket Açıklığı
M Medical Park Bursa Hastanesi Ortopedi Günleri’nde hekimler canlı omuz c...
CANLI OMUZ CERRAHİSİ(İNTERAKTİF KATILIMLI)
Bu çalışmada amaç;sıkışma sendromuna sebep olmuş Akromioklavikuler(AC) osteoar...
Proksimal Humerus Kırıklarında Kilitli PlakUygulamalarınınFonksiyonel Sonu...
Tenisçi Dirseğinde,Extracorporeal Shock Wave Therapy(ESWT) U...
Fransız OTSR Dergisinde Yayınlandı;K. Gokkus a,∗, M. Saylik b, H. At...
K,Gökkuş Saylık,M Luxatio erecta humeri :reporting a swimming injury with an...
Comment to: Haque S, Khan A, Sharma A,Sundararajan S: Technical tip: Tightrope...
Bu çalışmada Klavikula diafiz parçalı kırığı olan hastalarda, kilitli plak uyg...
Polish Orthopedics and Traumatology, 2014; 79: 45-46We read with great interest...
Bu site 16.10.2025 08:34 tarihin de güncellenmiştir.
Copyrights © 2025 All Rights Reserved. Powered by muratsaylik.com
Kişisel Verilerin Korunması Kanununu
Web sitemizin içeriği, ziyaretçiyi bilgilendirmeye yönelik hazırlanmıştır. Sitede yer alan bilgiler, hiçbir zaman bir hekim tedavisinin ya da konsültasyonunun yerini alamaz. Bu kaynaktan yola çıkarak, ilaç tedavisine başlanması ya da mevcut tedavinin değiştirilmesi kesinlikte tavsiye edilmez. Web sitemizin içeriği, asla kişisel teşhis ya da tedavi yönteminin seçimi için değerlendirilmemelidir. Sitede kanun içeriğine aykırı ilan ve reklam yapma kastı bulunmamaktadır.© 2025, Tüm hakları saklıdır. Gizlilik Sözleşmesi. Bu web sitesi CEOTECH tarafından yapılmıştır. Daha detaylı bilgi almak için lütfen tıklayınız.